
Когда пациент обращается к врачу? Когда чувствует дискомфорт!
Иронично, но страх перед возможным диагнозом онкологии часто мешает людям вовремя обратиться за медицинской помощью. Вовремя сделанная диагностика значительно повышает шансы на успешное лечение, но страх делает своё дело, отталкивая пациентов от важного шага.
Понимание значимости информации о состоянии своего здоровья критически важно для принятия обоснованных решений в отношении лечения и профилактики.
Онкология – лидер смертности в мире и России. В нашей стране, например, рак легких вызывает 18,5% всех смертей от онкологических заболеваний, рак желудка – 13,5%, и рак толстой кишки также демонстрирует высокий процент – около 13%. Рак печени встречается реже, составляя всего 1,5% от всех случаев рака в стране.
Даже редкие формы онкологии становится проще выявлять на ранних стадиях благодаря прогрессу в диагностических технологиях.
Статистика выживаемости при онкологии
Понятие «пятилетней выживаемости» часто упоминается в контексте онкологических заболеваний. Оно означает, что у больного не возникают рецидивы в течение пяти лет после лечения. В этом случае он считается вылеченным. Вероятность рецидива зависит от локализации опухоли и способа лечения.
Благодаря успехам в медицине, в России удалось увеличить выживаемость на 4,4% ежегодно. Если онкологическое заболевание диагностировано на ранней стадии, шансы на полное излечение выше – до 100%. Пациенты с раком толстой кишки полностью выздоравливают в 50% случаев, а при раннем обращении при раке кожи этот показатель достигает 85-90%.
Современная диагностика
Цель диагностики - быстро отвечать на вопросы, волнующие как пациентов, так и их врачей, предоставлять исчерпывающую информацию о состоянии человека.
Томография: веха клинической медицины. Основанная на принципе поперечного сканирования, лучевая диагностика детально визуализирует структуры организма. Однако, основной задачей для врачей остается обнаружение изменений, понимание их сути, что включает разработку алгоритма исследования, корректную интерпретацию данных.
Определение онкологических процессов с помощью КТ и МРТ часто включает введение контрастных препаратов, которые делают видимыми мелкие образования и воспаления, влияя на выбор лечебной стратегии.
Революционные изменения в диагностике печени за последнее десятилетие позволили значительно улучшить точность выявления патологий, как гемангиомы, кисты, метастазы, а также образований, содержащих печеночные клетки. Применение гадолинийсодержащих контрастных средств: Примовист, Омнискан значительно улучшило точность исследований.
Сочетание МРТ с диффузионно-взвешенными изображениями (DWI) детальнее отображает злокачественные опухоли благодаря их характеристикам на изображениях, что улучшает возможности неинвазивной диагностики.
Дифференциальная диагностика узлов при циррозе печени, выявление начинающихся опухолей проводится в соответствии с международными протоколами, что гарантирует получение достоверных результатов.
МРТ всего тела - революционный метод, позволяющий быстро определить метастазы в разных органах и тканях, что крайне важно для определения стадии заболевания, особенно при множественной миеломе и других распространенных онкологических заболеваниях.
Дополнительное исследование часто требуется после МРТ для подтверждения или уточнения диагноза, что может включать прицельное МРТ или мультиспиральную компьютерную томографию (МСКТ), особенно если уже выявлены проблемы в конкретном органе.
МРТ для диагностики онкологических заболеваний в МДЦ «Рэмси Диагностика»
Почему важно проводить обследование? Большинство пациентов обращаются к врачу только тогда, когда чувствуют себя плохо. Страх перед возможным обнаружением онкологического заболевания часто мешает людям вовремя пройти диагностику. Однако, наличие точной информации критически важно для принятия обоснованных решений о лечении.
Статус онкологических заболеваний
Онкология занимает лидирующие позиции по смертности в мире, и в каждой стране ситуация с отдельными видами рака различается. В России, например, высоки показатели смертности от рака легких, желудка и толстой кишки. Благодаря достижениям медицины, ранняя диагностика позволяет увеличить шансы на полное выздоровление.
Специфика диагностики в нашем центре
В нашей клинике используют передовые методы: МРТ с применением высокоразрешающих программ. Это помогает оценить мельчайшие детали и возможность радикального хирургического вмешательства. МРТ также проводится для оценки эффективности химио- и радиотерапии.
Ранняя диагностика рака толстой кишки
Мы проводим виртуальную колоноскопию, позволяющую получить трехмерные изображения кишечника, выявить воспаления, опухоли и другие аномалии. Этот метод отличается от традиционной эндоскопии тем, что визуализирует кишечник без введения эндоскопа.
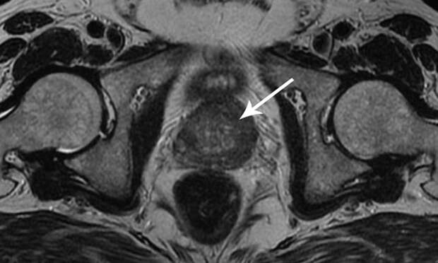
МРТ при подозрении на опухоль предстательной железы
Используется динамическое контрастирование для точного определения областей для биопсии и планирования лечения. Диффузионная визуализация, улучшают точность диагностики.
Выбор метода диагностики
Решение о применении КТ или МРТ принимается врачом-рентгенологом в сотрудничестве с лечащим врачом, с учетом диагноза и истории болезни пациента.
Партнерство с телемедицинской компанией «Вёртчюал Радиолоджик»
Мы активно сотрудничаем с ведущими специалистами из США и России. В нашем центре возможно воспользоваться услугой «Второе мнение». Проводим независимые аудиты и консилиумы по сложным случаям. Это сотрудничество направлено на обеспечение высокого качества диагностики и уверенности в принятых решениях лечения.
Литература по теме
- Majboroda A.A. Textbook and other general pathology (immune response, inflammation). - Moscow: MEDpress Inform, 2006. - 106 p. (in Russian)
- Alberts B., Bray D., Lewis J., et al. Molecular Biology of the Cell. - Vol. 1, 2, 3. - New York: Wiley, 1994.
- Майборода Аскольд Александрович К вопросу о диагностике онкологических заболеваний // БМЖ. 2014. №2.
МРТ в Тюмени - запись онлайн
Свежие комментарии