
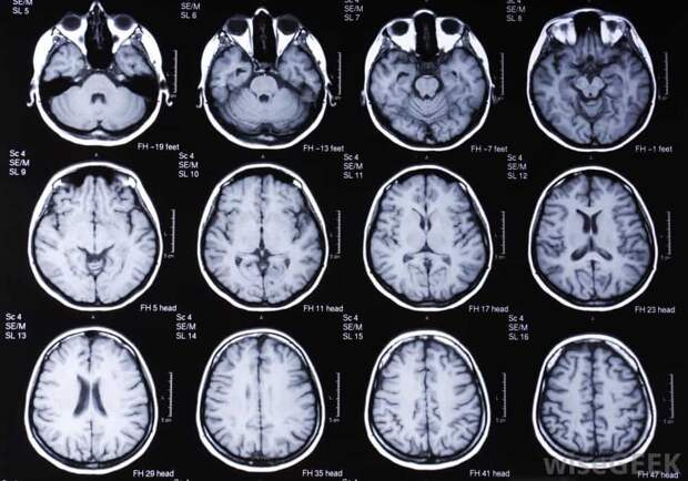
Магнитно-резонансное исследование является современным методом диагностики состояния центральной нервной системы. В городе Тюмень МРТ проводится как амбулаторно, так и стационарно во многих медицинских учреждениях.
Исследование назначается врачом
Исследование назначается врачом при наличии показаний, таких как головная боль неясного происхождения, подозрение на опухоль или сосудистую патологию, последствия черепно-мозговой травмы и другие заболевания центральной нервной системы.
Процедура абсолютно безболезненна
Процедура абсолютно безболезненна и не требует специальной подготовки со стороны пациента. Во время проведения МРТ пациент располагается внутри специального аппарата, где происходит сканирование исследуемой области под воздействием сильного магнитного поля.
Полученные изображения позволяют врачу выявить патологические изменения тканей головного мозга, что способствует постановке точного диагноза и назначению адекватной терапии.
Заключение
В заключение необходимо отметить, что проведение данного вида обследования должно осуществляться только по направлению врача, имеющего соответствующие показания.
Свежие комментарии