
МРТ печени с контрастом: Полный обзор протокола для оценки очагов и холангиографии
Магнитно-резонансная томография (МРТ) печени с контрастным усилением — это «золотой стандарт» в диагностике очаговых образований и патологии желчевыводящих путей.
Современный протокол исследования объединяет несколько высокоточных методик, позволяя врачу получить исчерпывающую информацию о структуре, функции и кровоснабжении печени. В этой статье мы подробно разберем, как проходит МРТ печени с контрастом, на что обращает внимание врач-рентгенолог и в чем преимущества этого метода.Показания к проведению МРТ печени с контрастом
Исследование назначается для решения широкого круга диагностических задач:
- Выявление и характеристика очаговых образований: дифференциальная диагностика доброкачественных (гемангиома, аденома, фокальная нодулярная гиперплазия - ФНГ) и злокачественных (гепатоцеллюлярный рак, метастазы) опухолей.
- Подозрение на холангиокарциному (рак желчных протоков).
- Оценка состояния желчных протоков: выявление камней (холедохолитиаз), стриктур (сужений), аномалий развития (кисты холедоха).
- МР-холангиография — неинвазивная визуализация желчевыводящих путей.
- Цирроз печени и скрининг на гепатоцеллюлярную карциному.
- Оценка состояния печени до и после трансплантации.
- Неясные результаты УЗИ или КТ.
Подготовка к исследованию
Для получения качественных снимков и минимизации артефактов важно правильно подготовиться:
- Голодание: Рекомендуется не принимать пищу за 4-6 часов до исследования. Это снижает перистальтику кишечника и риск возникновения тошноты при введении контраста.
- Питьевой режим: Воду можно пить в умеренных количествах.
- Информация для врача: Обязательно сообщите о наличии аллергий (особенно на контрастные вещества), хронических заболеваний (почечная недостаточность, бронхиальная астма), беременности или клаустрофобии.
Протокол МРТ печени с контрастом: Поэтапное описание
Стандартный протокол включает последовательность нескольких режимов сканирования до и после введения контрастного препарата.
1. Нативная (бесконтрастная) фаза
Это начальный этап, необходимый для получения базовых изображений.
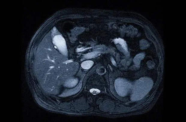
- T2-взвешенные изображения (T2-ВИ): Оценивают общую структуру печени, выявляют жидкостные компоненты (кисты, отеки), патологию желчных протоков и сосудов.
- T1-взвешенные изображения (T1-ВИ): Часто выполняются в противоположных фазах (in-phase/out-phase). Критически важны для выявления стеатоза (ожирения печени) и отложений железа (гемохроматоз).
- Диффузионно-взвешенные изображения (DWI): Показывают подвижность молекул воды. Злокачественные образования, где клетки расположены плотно, имеют ограниченную диффузию и «светятся» на DWI. Это ключевой метод для поиска мелких метастазов.
- МР-холангиография: Специальный режим, который визуализирует только желчные протоки, создавая их 3D-модель. Бывает двух видов:
- Бесконтрастная (MRCP): Основана на T2-ВИ, идеально показывает анатомию и обструкцию протоков.
- С контрастом (Ce-MRCP): Применяется реже, для оценки послеоперационных изменений и свищей.
2. Контрастное усиление
Используется гепатоспецифический контрастный препарат, который накапливается в клетках печени (гепатоцитах). Он вводится внутривенно болюсно автоматическим инжектором.
Ключевая часть протокола — многофазное сканирование, которое фиксирует, как контраст распространяется по сосудам и тканям печени:
- Артериальная фаза (20-35 секунд): Контраст заполняет печеночную артерию. Гиперваскуляризированные образования (ФНГ, аденома, гепатоцеллюлярный рак) активно накапливают контраст и ярко «вспыхивают».
- Портально-венозная фаза (60-70 секунд): Контраст заполняет воротную вену. Паренхима печени становится более однородной. В этой фазе хорошо видны гиповаскуляризированные метастазы.
- Отсроченная (равновесная) фаза (3-5 минут): Контраст распределяется между внутри- и внесосудистым пространством.
- Гепатобилиарная фаза (10-20 минут, для специфических контрастов): Контраст захватывается гепатоцитами и выделяется в желчные протоки. Нормальная ткань печени и некоторые образования (ФНГ) накапливают контраст, в то время как злокачественные опухоли (метастазы, холангиокарцинома) — нет, что делает их четко видимыми как «дефекты накопления».
Оценка очаговых образований печени
Анализируя поведение очага в разные фазы контрастирования, рентгенолог может с высокой точностью определить его природу.
- Гемангиома: Типичный признак — периферический узловой характер накопления контраста в артериальной фазе с последующим постепенным «наполнением» к центру.
- Фокальная нодулярная гиперплазия (ФНГ): В артериальной фазе ярко и гомогенно накапливает контраст, в портальной и отсроченной фазах становится изоинтенсичной паренхиме. Часто виден центральный рубец.
- Аденома печени: Обычно ярко накапливает контраст в артериальной фазе, но «вымывается» в более поздние фазы.
- Гепатоцеллюлярный рак (ГЦР): Характерно быстрое накопление контраста в артериальной фазе и быстрое «вымывание» в венозной/отсроченной фазах.
- Метастазы: Их вид зависит от первичной опухоли. Гиперваскуляризированные метастазы (от рака почки, нейроэндокринных опухолей) ярко видны в артериальную фазу. Гиповаскуляризированные (от рака толстой кишки) лучше видны в портально-венозную фазу как гиподенсные очаги.
Что включает заключение врача?
В протоколе МРТ-исследования врач-рентгенолог подробно описывает:
- Размеры, контуры и структуру печени.
- Очаговые образования: их количество, локализацию, размер, форму, сигнальные характеристики на разных последовательностях и особенности контрастного усиления в каждой фазе.
- Состояние сосудов: печеночной артерии, воротной и печеночных вен.
- Желчные протоки: их диаметр, проходимость, наличие конкрементов или стриктур (по данным MRCP).
- Заключение: интеграция всех данных с формулировкой наиболее вероятного диагноза или дифференциального ряда.
Преимущества метода
- Высокая точность: Лучший метод для дифференциальной диагностики очаговых образований.
- Отсутствие ионизирующего излучения.
- Многоплоскостная визуализация: Возможность получить срезы в любой проекции.
- Функциональные данные: Оценка кровотока и диффузии.
- Неинвазивная холангиография: MRCP — безопасная альтернатива ЭРХПГ.
Заключение
Протокол МРТ печени с контрастным усилением — это комплексный и высокоинформативный диагностический инструмент. Сочетание нативных последовательностей, диффузионно-взвешенных изображений и многофазного контрастирования позволяет не только обнаруживать минимальные изменения в печени, но и с высокой долей уверенности характеризовать их, что напрямую влияет на выбор правильной тактики лечения. Если ваш врач рекомендует это исследование — он стремится получить максимально полную картину здоровья вашей печени.
Свежие комментарии