
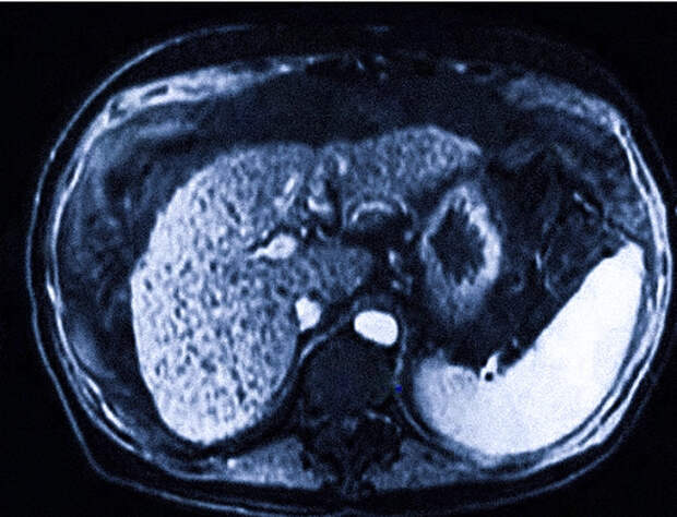
Магнитно-резонансная томография (МРТ) является высокоинформативным неинвазивным диагностическим методом визуализации внутренних органов и тканей организма человека. В частности, МРТ позволяет детально исследовать структуру и функциональное состояние печени, выявляя патологические изменения на ранних стадиях развития заболеваний.
Показания
Показаниями к проведению МРТ печени являются подозрения на наличие опухолей, кист, воспалительных процессов или повреждений органа вследствие травм. Процедура может проводиться как с контрастированием специальными препаратами, усиливающими четкость изображения, так и без него.
Особенности процедуры
Перед исследованием пациенту необходимо пройти консультацию специалиста, сообщить о наличии металлических имплантатов или электронных устройств в организме, а также соблюдать рекомендации по подготовке к процедуре, такие как ограничение приема пищи за несколько часов до обследования.
Заключение
Проведение МРТ печени осуществляется опытными специалистами медицинских учреждений при строгом соблюдении всех норм безопасности пациента. Полученные результаты позволяют врачу поставить точный диагноз и назначить адекватную терапию, обеспечивая своевременность и эффективность лечения пациентов.
Свежие комментарии