
Магнитно-резонансная томография брюшной полости – это неинвазивный метод, который использует магнитные поля, радиоволны для получения изображений внутренних органов. Позволяет врачам подробно оценить состояние печени, селезенки, почек, поджелудочной железы, кишечника, выявляет возможные заболевания, опухоли, воспаления, патологии.
МРТ – безопасный, точный, информативный метод, помогающий врачам поставить правильный диагноз, выбрать стратегию лечения.Анатомия брюшной полости
Беспокоят боли в животе? Рассказываем, как устроена эта сложная анатомическая область, чтобы вы смогли провести самодиагностику и понять, когда пора обратиться к врачу.
Брюшная полость – пространство, расположенное между диафрагмой и тазом. В нем находятся органы пищеварительной, выделительной, эндокринной систем: печень, поджелудочная, желудок, тонкий, толстый кишечник, селезенка. Они выполняют различные функции: печень отвечает за метаболизм, поджелудочная железа производит ферменты для пищеварения, кишечник обеспечивает усвоение питательных веществ, выводит остатки пищи. Важным элементом анатомии является брюшина – серозная оболочка, покрывающая органы, обеспечивающая их подвижность внутри полости.
Здесь проходят важные сосуды (аорта, нижняя полая вена), обеспечивающие кровоснабжение. Содержатся лимфатические узлы, нервные структуры, регулирующие функции организма. Стены брюшной полости образуют несколько слоев мышц, соединительных тканей, защищающие внутренние структуры, поддерживающие их в правильном положении.
Показания к проведению МРТ брюшной полости
Почему вам дали направление на диагностику?
Ознакомившись со списком возможных причин, вы сможете понять, есть ли там ваша:- подозрение на опухолевые образования (доброкачественные или злокачественные);
- хронические, острые боли в животе, неясного происхождения;
- гепатит, цирроз, фиброз;
- оценка состояния поджелудочной железы при болезнях, панкреатите;
- нарушения работы кишечника, кишечные непроходимости, воспалительные процессы;
- изменения в анализах крови (повышение уровня печеночных ферментов);
- пороки развития органов этой зоны;
- обследование сосудов на аневризмы, тромбы;
- травмы;
- спленомегалия, разрыв селезенки;
- контроль после хирургических вмешательств;
- аппендицит, перитонит, дивертикулит;
- патологии желчного пузыря, желчевыводящих путей (камни, холецистит).
Противопоказания
Как узнать, нет ли у вас препятствий к сканированию? Прочитав этот раздел, вы поймете кому надо выбрать альтернативные методы:
- Наличие металлических имплантатов. Устройства из металла в теле (кардиостимуляторы, металлические клапаны, суставные протезы), подвержены воздействию магнитного поля.
- Проблемы с почками. Нарушение функции органа (почечная недостаточность) препятствует введению контрастных веществ.
- Беременность (в первом триместре). Томография – безопасный метод. Но в ранние сроки его лучше отложить, если нет неотложной необходимости.
- Аллергия на контрастные вещества: при контрастно усиленном исследовании. Нельзя делать, если у человека аллергия на гадолиний или другие вещества препарата.
- Клаустрофобия из-за тесного пространства в МРТ-аппарате. Это провоцирует дискомфорт или паническую атаку. Возможность процедуры надо предварительно обсудить с врачом.
- Наличие неферромагнитных имплантатов: которые могут повреждаться в процессе исследования. Их безопасность следует обсудить с рентгенологом.
- Тяжелые психические заболевания. Люди с ментальными расстройствами не выдерживают длительное пребывание в неподвижном состоянии.
Подготовка к МРТ брюшной полости
Узнайте, как сделать так, чтобы сканирование прошло удобно и быстро.
Подготовительные меры состоят из нескольких этапов, помогающих обеспечить точность результатов. За 4-6 часов рекомендуется воздержаться от приема еды и питья, чтобы уменьшить количество газов в кишечнике, улучшить визуализацию органов. Надо соблюдать этот режим, если предстоит использование контраста. Полный желудок, кишечник снизят качество снимков. Пациентам рекомендуется отказаться от курения, жевательной резинки перед процедурой, поскольку это может вызвать избыточную перистальтику кишечника.
Иногда нужна дополнительная подготовка: слабительные средства, препараты для очистки кишечника. Если планируется введение контраста, надо сообщить врачу о возможных аллергиях, болезнях почек. От этого зависит выбор контрастного вещества. Важно сообщить медицинскому персоналу о наличии металлических имплантов, кардиостимуляторов, препятствующих обследованию.
Этапы процедуры
Подробно расскажем, что вас ждет во время обследования, чтобы вы не тревожились понапрасну.
Оно начинается с подготовки пациента. Он снимает все металлические предметы (украшения, часы, ремни), одевается в удобную одежду без металлических деталей. Затем человек ложится на механический стол, который плавно задвигается в магнитный томограф. Важно все время исследования оставаться неподвижным. Любые движения влияют на качество снимок. Если врач назначил, то обследуемому введут контраст, улучшающий визуализацию органов и тканей.
После этого начнется процесс сканирования. МРТ-аппарат генерирует серию магнитных импульсов, создавая изображения. Это занимает 15-30 минут, в зависимости от сложности исследования. Во время процедуры пациент слышит громкие звуки работы томографа. Это совершенно нормально. В редких случаях делают дополнительные снимки с использованием контраста, повторные сканирования для более детальной оценки. После завершения человек сразу возвращается к обычным делам, поскольку томография не требует восстановительного периода.
МРТ брюшной полости с контрастированием
В этом разделе разберем, для чего нужны препараты для контрастирования. Вы сможете узнать, какая в вашем случае нужна процедура: нативная (обычная) или с контрастом.
Диагностика применяется для детального обследования внутренних органов, когда нужна оценка сосудистых структур, опухолей, воспалений, аномалий. Они трудно различимы без контраста. Доктора используют препараты на основе гадолиния. Они вводятся внутривенно перед началом исследования или в его процессе. Это улучшает видимость мягких тканей, позволяет врачу более четко определить патологические изменения.
Контрастирование на МРТ брюшной полости показано для оценки состояния печени, поджелудочной железы, почек, сосудов, выявления, мониторинга опухолей, метастазов. Введение контраста вызывает кратковременные ощущения холода в месте инъекции, небольшой дискомфорт. Эта процедура безопасна. После нее человеку нужны дополнительные снимки, последовательные сканы для оценки изменений в тканях в ответ на введение вещества.
Расшифровка результатов
Расшифровка результатов включает детальный анализ полученных изображений для выявления патологий, отклонений от нормы. Врач-радиолог оценивает состояние органов, выявляя возможные заболевания. Надо, чтобы специалист учитывал визуальные данные, клинические проявления, чтобы поставить диагноз, предложить лечение. Может быть проведена сравнительная оценка с предыдущими изображениями, чтобы увидеть динамику изменений.
Особое внимание уделяется анализу контрастных изменений. Опухолевые образования имеют повышенную, измененную интенсивность контрастирования. Это помогает врачу отличить их от здоровых тканей. Расшифровка включает оценку сосудистой сети – наличие расширенных, суженных сосудов, тромбы или аневризмы. Для окончательного диагноза бывает нужно проведение дополнительных исследований (анализы крови, другие визуализирующие методы).
Преимущества МРТ брюшной полости
Узнаем про достоинства этой процедуры. Так вы поймёте, почему врачи отдают ей предпочтение.
Это неинвазивное исследование. Оно не требует хирургического вмешательства, введения инструментов в организм, что снижает риск осложнений. Позволяет получить подробные изображения внутренних органов без боли. Не использует рентгеновские лучи. Безопасно для пациентов при необходимости многократных обследований. Это важно для людей, которым требуется регулярный мониторинг состояния при хронических заболеваниях, наблюдении за опухолевыми процессами.
При сканировании получается очень высокое качество изображений. Доктора видят четкие, детализированные изображения мягких тканей, чего не бывает при других методах визуализации (рентген или УЗИ брюшной полости). Это позволяет точнее дифференцировать опухолевые процессы, воспаления, травмы, кистозные образования, болезни сосудов. С помощью томографии обнаруживают изменения на ранних стадиях, что способствует эффективному лечению, повышает шансы на хороший исход. Использование контрастных веществ усиливает визуализацию.
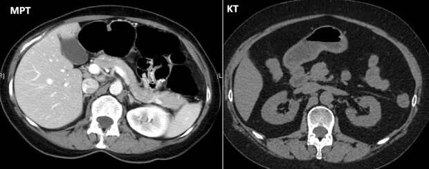
МРТ или КТ брюшной полости?
Давайте сравним методики, чтобы понять, какая из них вам требуется.
Это два мощных метода, которые имеют свои особенности, преимущества в зависимости от клинической ситуации.
МРТ подходит для оценки мягких тканей печени, поджелудочной железы, кишечника, других органов. Она не использует ионизирующее излучение, что делает его безопасным у людей с повышенной чувствительностью к радиации. Применяется для выявления опухолевых процессов, воспалений, изменений в мягкотканных структурах, для наблюдения за состоянием после операций. Процедура занимает много времени. На всем ее протяжении требуется неподвижность пациента, что затруднительно при клаустрофобии или детям.
С помощью КТ брюшной полости врачи получают результаты быстро. Ее используют для оценки костных структур, кровоизлияний, травм, заболеваний, связанных с плотными тканями (кишечник, крупные сосуды). Технология показана в экстренных ситуациях, когда нужно быстро получить изображение для принятия решения о лечении при травмах, острых заболеваниях. Компьютерная томография использует рентген, что ограничивает его использование для больных, требующих многократных обследований, несовершеннолетних. Оно менее информативно для диагностики патологий мягких тканей.
Выбор между методиками зависит от клинической ситуации, целей исследования, особенностей обследуемого. Иногда, чтобы получить полную картину, назначают оба способа.
Чем дополнить обследование
Узнаем, какие еще технологии позволяют получить дополнительную информацию о состоянии брюшной полости.
Уточнить результаты поможет ультразвуковое исследование (УЗИ). Оно отображает состояние органов в реальном времени, обнаруживает камни в желчном пузыре, почках, уточняет размеры, структуру новообразований. Лабораторные анализы: биохимия крови, ПЦР на вирусы гепатита, онкомаркеры предоставляют сведения о функциональном состоянии, наличии воспалений, инфекций. Чтобы исключить сосудистые заболевания показана ангиография, дуплексное сканирование сосудов. Для более точной оценки кишечника рекомендованы эндоскопические исследования (колоноскопия, гастроскопия). Комплексный подход позволяет получить полное представление об организме.
Как пройти томографию в Тюмени и сэкономить
Посмотреть, в каких медцентрах есть высокопольные томографы, можно на нашем сайте. А связавшись с операторами, вы можете уточнить, сколько стоит МРТ брюшной полости, как добраться до клиники, есть ли стоянка, пандусы для маломобильных граждан. При записи через портал вы получите скидку до 1000 рублей на сканирование.
Литература
- Quattrocchi C.C., Rovira À., van der Molen A.J., Mallio C.A. ESR Essentials: gadolinium-wise MRI — practice recommendations by the European Society for Magnetic Resonance in Medicine and Biology. European Radiology. 2025;35(6):3347–3353. doi:10.1007/s00330-024-11214-4. PMID:39702634.
- Bendszus M., Laghi A., Munuera J., Tanenbaum L.N., Taouli B., Thoeny H.C. MRI Gadolinium-Based Contrast Media: Meeting Radiological, Clinical, and Environmental Needs. Journal of Magnetic Resonance Imaging. 2024 Nov;60(5):1774–1785. doi:10.1002/jmri.29181. PMID:38226697. PubMed.
- Maccioni F., Busato L., Valenti A., Cardaccio S., Longhi A., Catalano C. Magnetic Resonance Imaging of the Gastrointestinal Tract: Current Role, Recent Advancements and Future Prospectives. Diagnostics. 2023;13(14):2410. doi:10.3390/diagnostics13142410. (онлайн-публикация MDPI от 19.07.2023).
- American College of Radiology (ACR). ACR Appropriateness Criteria®: Right Lower Quadrant Pain (Suspected Appendicitis). PDF-руководство; пересмотр 2022 г. Доступно по адресу: https://acsearch.acr.org/docs/69357/narrative/ (опубликовано как версия «Revised 2022»).
- American College of Radiology (ACR). ACR Appropriateness Criteria®: Acute Nonlocalized Abdominal Pain. PDF-руководство; пересмотр 2018 г. Доступно по адресу: https://acsearch.acr.org/docs/69467/narrative/ (опубликовано как версия «Revised 2018»).
- American College of Radiology. ACR Manual on Contrast Media. Версия 2023. PDF: https://sar.org.ar/wp-content/uploads/2024/07/ACR2023Contrast_Media.pdf (опубликовано в 2023 г.; официальный консенсус ACR по применению контрастных средств).
- European Society of Urogenital Radiology (ESUR). ESUR Guidelines on Contrast Agents. Version 10.0 (2018). PDF: https://adus-radiologie.ch/files/ESUR_Guidelines_10.0.pdf (опубликовано в 2018 г.; руководство по безопасности гадолиниевых и йодсодержащих контрастов).
- U.S. Food and Drug Administration (FDA). Testing and Labeling Medical Devices for Safety in the Magnetic Resonance (MR) Environment — Guidance for Industry and FDA Staff. 10.10.2023. URL: https://www.fda.gov/regulatory-information/search-fda-guidance-documents/testing-and-labeling-medical-devices-safety-magnetic-resonance-mr-environment.
- Логинов, Блок. Хронические гепатиты и циррозы печени. – М. Медицина., 1987. – 272 с.
- Кулюшина. Роль методов лучевой диагностики в оценке наличия свободной жидкости в брюшной полости при хронических гепатитах и циррозах печени // БМЖ. 2009. №8.
МРТ в Тюмени - запись онлайн
Свежие комментарии